高热多日不退,症状类似流感,竟是“鹦鹉热”惹祸!

近日,严阿伯(化名)无明显原因发热近二十来天,按流感自行服药多日,高热仍然不退,几经波折最后来到上海交通大学医学院附属仁济医院感染科。然而多日药物治疗下,肺部感染仍未见好转,肺叶上的絮状片影就像一团迷雾时时萦绕在感染科医生的心头。

“会不会是少见的鹦鹉热?”结合病人症状和临床经验感染科副主任陈小松大胆猜想。在进行自主纤支镜检查和肺泡灌洗等检查后,检测结果验证了陈小松的判断:鹦鹉热衣原体感染。经针对性治疗后,病人症状日趋好转,顺利出院。

抽丝剥茧,找出“罪魁祸首”

64岁的严阿伯三周前突然出现咳嗽、咯痰,在当地医院进行化痰等治疗后,症状逐渐加重,出现畏寒、尿急、乏力、高热不退等症状。眼见老人一天天被折磨,一家人倍感疑惑,明明看着像感冒,奈何这么久不见好转,心急如焚之下,3月底带着老人赶至上海仁济医院。

感染科医生经问诊和检查发现,诊断老人患有肺部重症感染、2型糖尿病、肾功能不全。CT检查显示肺部已有大片‘白肺’出现,说明这肯定不是普通的感冒,但蹊跷的是,流感、新冠、结核、真菌、血培养等多项检查结果均为“阴性”。

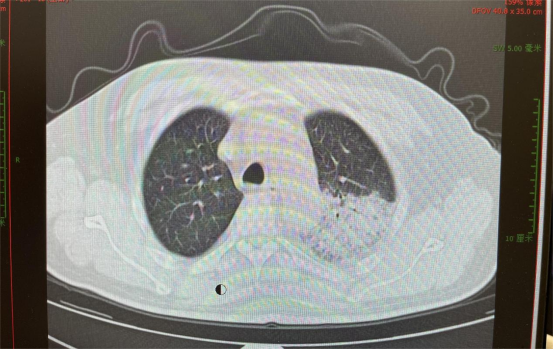
image.png入院当天胸部CT检查显示肺叶大片实变

 通过回溯病史,对症状、病情、检查结果等进行仔细分析讨论后,感染科团队大胆判断患者很可能感染了少见的“鹦鹉热”。决定实施纤支镜检查下肺泡灌洗,留取灌洗液标本进行病原学检测。果然,检测结果提示严阿伯感染了鹦鹉热衣原体。调整用药2天后,老人的体温逐渐恢复正常,病情好转顺利出院。

 据悉,“鹦鹉热”是一种人畜共患传染病,由鹦鹉热衣原体引起。不仅是鹦鹉,其他禽鸟类包括家禽和野生动物等,都可携带这种病原体。

这个结果让严阿伯和家人都很意外,因为家里没养宠物,老人除了去菜场买买菜,也没跟动物有过直接接触。感染科副主任陈小松解释道:“经呼吸道吸入或密切接触病鸟可感染,传染来源可能是带菌的禽鸟及其分泌/排泄物。治疗鹦鹉热衣原体感染,常规抗生素是没有用的,必须使用四环素类药物。”

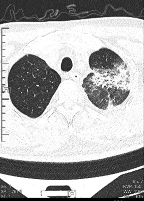
 image.png 入院10天后胸部CT显示病灶部分吸收

 表示,作为一种传染病,鹦鹉热主要发生于沿海地区,潜伏期一般为514天。感染前期与感冒症状极为相似,易被漏诊误诊。近年来,随着宏基因二代测序技术(mNGS)在微生物检测中应用日渐广泛,这一曾经被认为罕见的疾病被大众逐步了解。   

提醒广大市民,接触禽鸟后,应及时洗手。从事禽类运输、售卖、宰杀等工作的人群者,应正确佩戴口罩,做好环境卫生和消毒。如果在接触禽鸟后出现高热、咳嗽、头痛、肌肉疼痛等症状,应及时至医院就诊,告知禽鸟类接触史,以便医生更好地进行诊断,排查“鹦鹉热”可能。


精彩回顾