反复头痛五年,视力明显下降,原来是颅内血管病变!

头痛忍忍就好了?实在忍不了就吃点止痛药?如果反复头痛,还伴随视力模糊重影,务必高度警惕。

38岁吴女士五年来一直饱受慢性头痛的煎熬。近一年来,她的头痛症状越来越严重,右眼视力下降,左手麻木乏力,慕名来到上海交通大学医学院附属仁济医院就诊。神经内科主治医生林岩和眼科副主任医生闫焱认为,吴女士的头痛不简单。果然,在进行一系列检查和腰穿后,医生们发现,吴女士存在颅内压增高和眼底异常,头颅磁共振静脉成像显示右侧静脉横窦严重狭窄。于是神经内科、神经外科、眼科和放射科等多个学科的专家立即进行了会诊,大家认为优势侧横窦严重狭窄可能是引起高颅压的原因。

 血管内微创介入,重建静脉窦

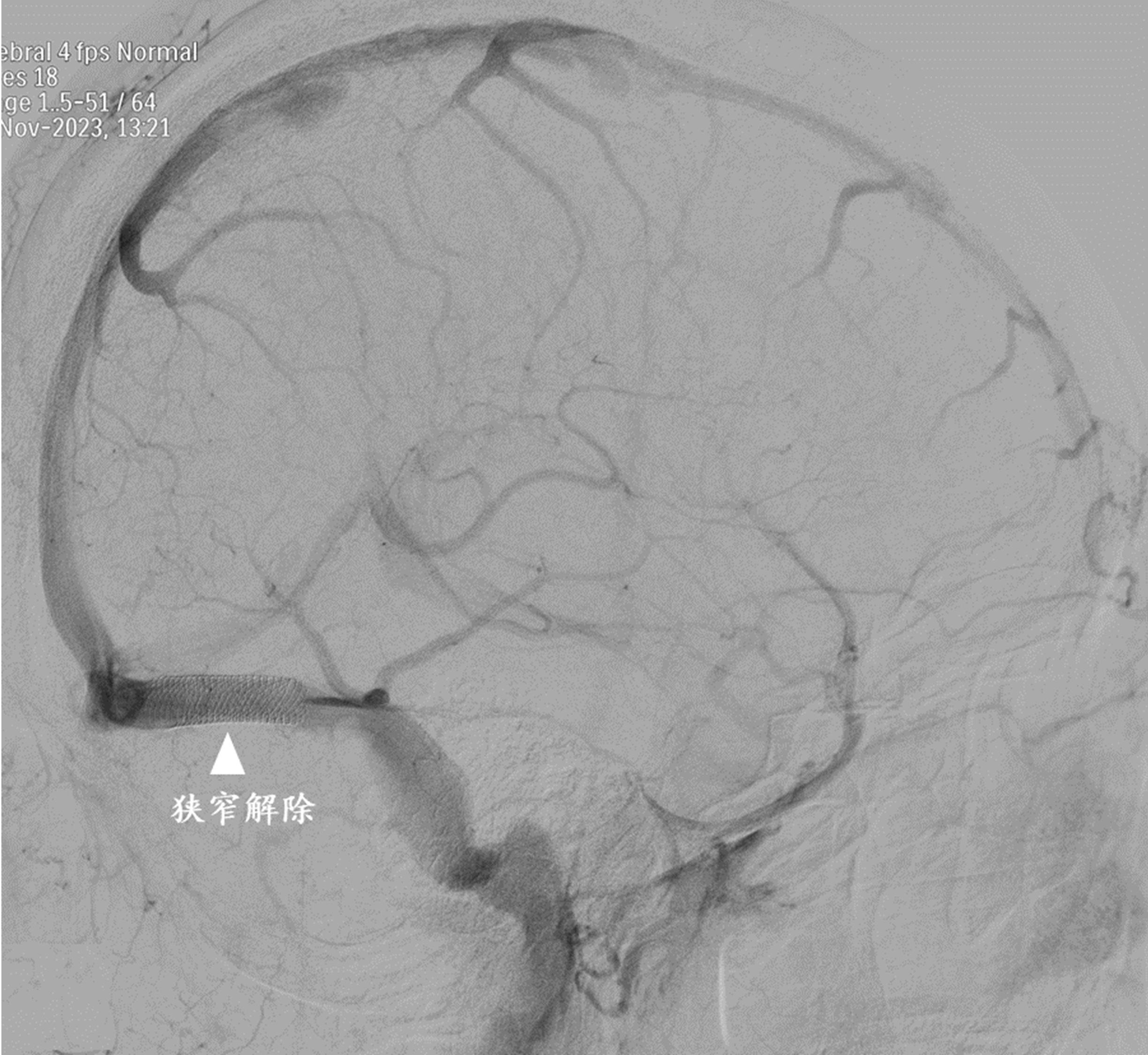
手术中,神经外科副主任医生赵兵准确判断血管狭窄的位置,测量静脉窦狭窄的压力差超过11毫米汞柱,证实了静脉窦狭窄是导致患者种种不适症状的根源。

image.png

image.png


手术非常成功,狭窄的静脉窦被打通。术后,吴女士的头痛症状明显缓解,视物也变得清晰了,左手麻木、无力感消失。

特别提醒:反复头痛、视物不清,别忽视

当出现反复头痛、视物模糊等症状,患者千万不可掉以轻心。

据仁济医院神经外科主任医生潘耀华介绍,颅内静脉窦负责将脑内的血液排出颅腔。如果某个优势静脉窦发生狭窄,阻碍了血液的正常流动,就可能引起颅内压升高,从而导致一系列症状,如头痛、视物模糊、视力下降甚至失明、搏动性耳鸣,甚至出现明显的肢体感觉活动障碍。脑血管造影是诊断该疾病的金标准,能够同时测定静脉窦狭窄两端的压力差,有助于明确诊断,并指导治疗和判断预后。对于静脉窦严重狭窄且狭窄两端存在明显压力差的患者,血管内微创重建静脉窦是一种安全可行的治疗方法。

精彩回顾