在仁济医院胃肠外科主任医师张子臻出诊的日子,72岁的陈老伯面带焦虑地踏入诊室。张子臻仔细问诊后得知,陈老伯在一次体检中被发现胃窦体交界处有一处周围隆起、中央凹陷性的病灶,活检病理提示低分化腺癌。
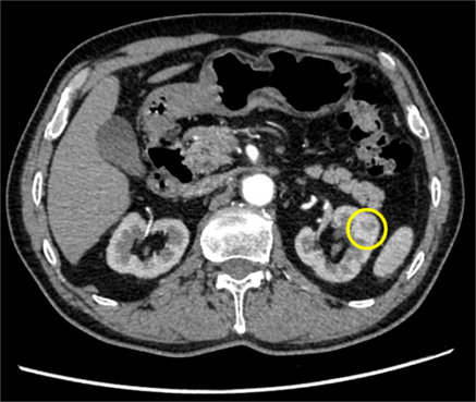
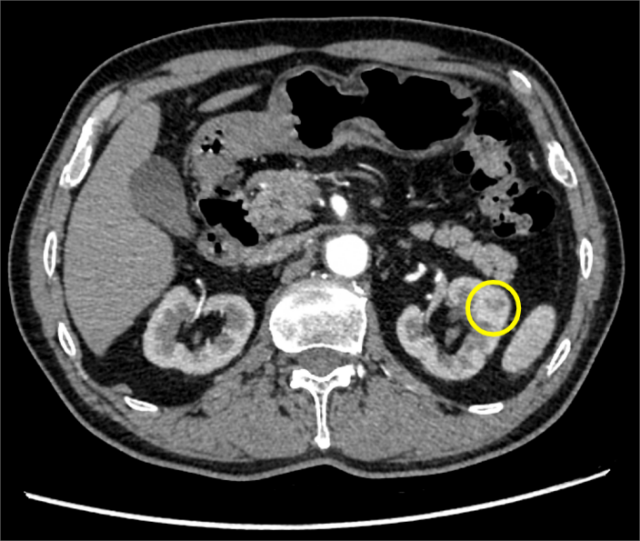
陈老伯有长达三十余年的吸烟史及十余年的老慢支病史,很担忧手术是否可以安全进行。张子臻耐心解释手术治疗的可行性和风险,并尽快为陈老伯安排了病房,同时完善全身检查。然而,在入院检查中,意外发现陈老伯的右肾中部有个直径1厘米的结节,增强CT检查高度怀疑是肾癌。

两种癌症,怎么办才好?仁济专家团队重新研讨治疗方案,以期达到最佳治疗效果。在充分评估陈老伯情况后,胃肠外科张子臻团队与泌尿科翟炜团队、麻醉科俞卫锋团队共同制定了治疗方案,决定为陈老伯进行机器人手术,一次完成胃癌和肾癌的根治性切除。
仁济胃肠外科主任医师曹晖教授介绍,采用单次手术“搞定”两种癌症的治疗方案,目的是为了最大限度减少手术创伤,缩短恢复期。
为更精准地切除胃部病灶,胃肠外科顾佳毅医生在术前为患者进行了胃镜下病灶纳米碳定位术。这一技术利用黑色的纳米碳粒子对病灶进行定位,使医生在术中能直观地观察并切除病变组织,保留更多健康组织,减少手术创伤,提高手术的精准度和安全性。

左图胃镜(定位前)、 右图胃镜(定位后)
经过完备的术前准备和各专科团队的通力配合,机器人胃癌根治术联合肾肿瘤切除术顺利完成。术后,陈老伯平安返回病房。术后7天,陈老伯情况稳定,顺利出院。
曹晖主任表示,“达芬奇”机器人手术系统具有高清晰度、立体视觉系统和灵活的机械臂,使医生能够在手术中获得更加清晰、精细的视野,进行更为精细的操作,减少了手术创伤和疼痛,缩短了恢复期,提高了手术的安全性。

手术瘢痕几乎看不见